Living with the choices we make
Tony Robbins and Tom Zgainer discuss why you should understand how fees in your retirement plan investments will affect your future and that of your employees.
Read ColumnOrthodontic Practice US provides orthodontic continuing education and other valuable resources to help you build upon your expertise in orthodontics. Our continuing education is updated regularly and accessible any time, from anywhere.
Purchase a subscription today!
Tony Robbins and Tom Zgainer discuss why you should understand how fees in your retirement plan investments will affect your future and that of your employees.
Read ColumnPeak performance strategist Tony Robbins and Tom Zgainer, founder and CEO of America’s Best 401k, offer advice on growing retirement savings.
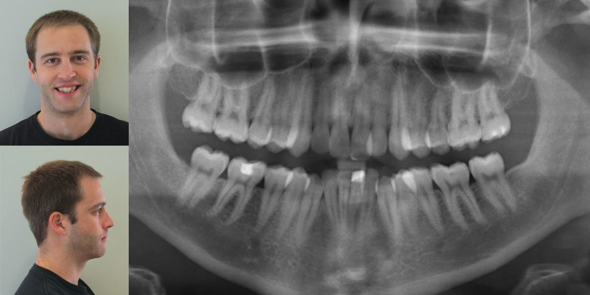
Read ColumnDr. Larry W. White examines a common outcome of the removal of maxillary and mandibular premolars in Class II malocclusions Abstract Dr. Charles Tweed had enormous influence in orthodontics by developing a rationale for the extraction of premolars and the Tweed Triangle, which he used as a diagnostic and treatment-planning instrument. He used the premolar
Read ColumnMedMark is proud to launch a new column that will help dental professionals make important decisions about retirement plans Dear Readers: With this issue of Orthodontic Practice US, I am delighted to introduce a new series of articles that have the potential to change the course of your life. I know this to be true
Read ColumnDr. David R. Boschken discusses a practice-building tool What differentiates your practice? Customer service, technology, team, doctor skills? Perhaps all of these? However, there is still a special ingredient missing. The why of your business. Why do we do what we do? What drives companies to greatness while other companies fail? My why has always
Read ColumnIncreasing case acceptance and practice differentiation with Propel Read More »
Dr. Lou Shuman discusses the benefits of Ortho Acceleration Orthodontic Acceleration is on the threshold of forever changing how orthodontics is provided. The benefits of acceleration far outweigh any perceived barriers, and soon the consumer population will demand it as part of standard orthodontic care, as was the case with Invisalign®. The clinical literature demonstrating
Read ColumnThe impact of integrating Acceleration Technology into your practice Read More »
So you have purchased your Propel devices and are staring at them wondering how to incorporate this into your office routine. How do I train my staff on the setup and delivery? What other supplies do I need? Before you can even get to that point, how do I discuss this with patients? How can
Read ColumnDiana P. Friedman explores how consumers search for online information When consumers, including prospective orthodontic patients, head to the Internet, 93% start by initiating a search.1 Healthcare continues to be a topic of great interest, as 72% of Internet users look online for health information.2 However, where consumers conduct their searches is undergoing a dramatic
Read ColumnGenerating more new case starts through topical search Read More »
Copyright © 2024 Orthodontic Practice US - Dental Journal and Online Dental CE | MedMark LLC
15720 North Greenway Hayden Loop, Suite #9 Scottsdale, AZ 85260 | All rights Reserved | Privacy Policy | Terms & Conditions
![]()